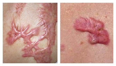
蟹足肿疤痕,也称瘢痕疙瘩,是皮肤受损后纤维细胞异常增生所致,表现为红色或紫色的硬块,常见于耳垂、肩膀等部位。面对这样的疤痕,不必过于担忧

一、药物治疗
-
局部注射激素
-
药物:倍他米松、曲安奈德等糖皮质激素。
-
原理:通过抑制炎症反应和纤维细胞增生,从而达到减少疤痕形成的目的。
-
注意事项:需由专业医生进行注射,避免自行操作,以免引起感染或其他并发症。
-
外用药膏
-
药物:积雪苷霜软膏、多磺酸粘多糖乳膏、复方肝素钠尿囊素凝胶等。
-
使用方法:每日涂抹于疤痕处,轻轻按摩至吸收。
-
注意事项:使用药膏前,需清洁皮肤,避免药膏污染。药膏的使用需遵医嘱,避免过量使用或滥用。
二、激光疗法
-
原理:利用激光的光热效应,作用于疤痕组织,刺激胶原蛋白再生,减少疤痕形成。
-
适应症:适用于表浅性蟹足肿疤痕及色素沉着。
-
治疗过程:通常需多次治疗,每次治疗间隔一段时间,以便皮肤有足够的时间进行修复。
-
注意事项:激光治疗后,需注意防晒,避免紫外线照射,以免影响治疗效果。同时,避免搔抓治疗部位,以免引起感染。
三、物理疗法
-
硅胶贴片
-
原理:通过刺激天然细胞因子的产生,抑制过度生长的纤维组织。
-
使用方法:将硅胶贴片紧贴于疤痕处,定期更换。
-
注意事项:使用硅胶贴片时,需保持皮肤清洁干燥,避免感染。同时,避免过度摩擦或拉扯贴片。
-
压力疗法
-
原理:通过施加均匀压力,支持皮肤结构,防止过度增生。
-
使用方法:穿着特制的压力服装或使用压迫垫圈,持续施加压力。
-
注意事项:压力疗法需持续进行,避免间断。同时,需定期更换压力服装或垫圈,以保持压力的有效性。
四、手术治疗
-
疤痕切除术
-
原理:通过手术切除过厚或不规则的疤痕组织,并可能涉及周围正常皮肤移植以填补缺失区域。
-
适应症:适用于较大、突出或影响功能的蟹足肿疤痕。
-
注意事项:手术后需进行放射治疗,以降低复发风险。同时,需保持伤口清洁干燥,避免感染。
-
自体脂肪移植
-
原理:将自身脂肪从一个部位抽取后经过处理再注入到需要填充的区域。
-
适应症:适用于凹陷性蟹足肿疤痕。
-
注意事项:自体脂肪移植后,需避免剧烈运动,以免影响脂肪存活。同时,需定期复诊,观察移植效果。
五、放射治疗
-
原理:通过放射线的作用,促进皮肤成纤维细胞凋亡,从而改善疤痕疙瘩。
-
适应症:适用于手术切除后的辅助治疗,以降低复发风险。
-
治疗过程:需多次治疗,每次治疗间隔一段时间。治疗时需保护好周围正常皮肤,避免受到放射线的损伤。
-
费用:每次治疗的价格在1000元到2000元之间,具体费用需根据医院和地区而定。
注意事项
-
在选择修复方法时,请务必咨询专业医生或皮肤科专家,根据个人情况制定合适的治疗方案。
-
治疗期间,请保持患处清洁干燥,避免抓挠和摩擦。饮食上避免食用辛辣刺激性的食物,如辣椒、生姜、大蒜等,以免影响皮肤恢复。
-
治疗后需定期复诊,观察治疗效果,并根据医生建议进行后续治疗或护理。
以上信息仅供参考,如有需要,请及时就医并遵循专业医生的指导。
西安疤痕修复医院哪家好?
西安疤愈瘢痕诊疗中心!!!